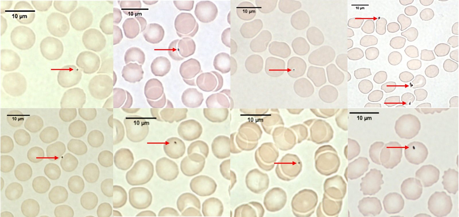
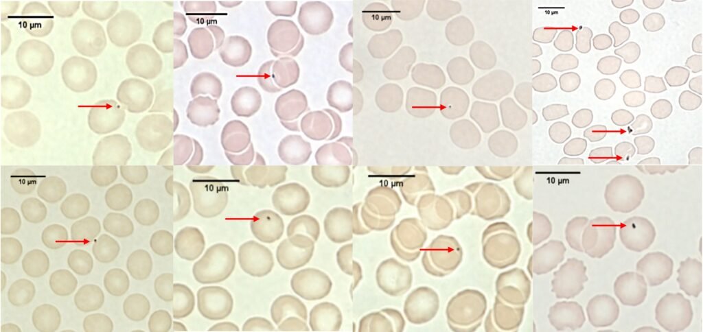
Air pollution is a major concern in urban areas, with vehicle exhausts and industrial processes releasing tiny particles that can easily enter the body through the lungs. Recent research has found that these pollution particles can hitch a ride on red blood cells, allowing them to travel freely throughout the body.
A study conducted by researchers at Queen Mary University of London, UK, involved 12 adult volunteers who spent time near a busy London road. After exposure to high levels of particle air pollution, the researchers found an increase in pollution particles adhering to the red blood cells of the volunteers. This suggests that these particles can easily infiltrate the bloodstream and potentially reach various organs in the body.
The researchers used microscopes to analyze blood samples from the volunteers and found that wearing an FFP2 face mask reduced the amount of pollution particles stuck to red blood cells. This indicates that wearing a mask can help lower the dose of inhaled pollution particles and protect against their harmful effects.
Further laboratory experiments confirmed that diesel exhaust particles can easily stick to human and mouse red blood cells. The particles contained various metals commonly found in vehicle exhaust and brake/tire wear, highlighting their origin from pollution sources.
Professor Jonathan Grigg, one of the lead researchers, emphasized the importance of understanding how air pollution particles can infiltrate different parts of the body. He mentioned that the study provides a simple method to measure the amount of pollution entering the body and the effectiveness of protective measures like face masks.
Professor Ane Johannessen, an expert in epidemiology and environment, noted that the study’s findings underscore the need for stricter air pollution regulations to reduce the risk for everyone. She highlighted the potential benefits of using protective facemasks, especially for individuals with lung diseases or those regularly exposed to high levels of pollution.
In conclusion, the research highlights the significant impact of air pollution particles on human health and the importance of taking measures to reduce exposure. By understanding how these particles can travel through the body, researchers aim to develop strategies to mitigate their harmful effects and protect public health.
